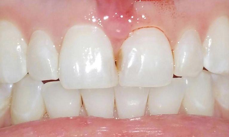
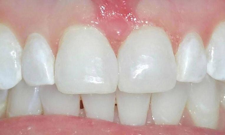
See for yourself the fantastic results we get here at Chagrin Falls Dentistry.
My experience with Dr. Hivick has been excellent. I was new to the area and searching for a dentist who was thorough and practical. After doing some research about local dentists, I sought a consultation with Dr. Hivick due to some sensitivity that I was having with a few of my teeth. After a very thorough consultation, Dr. Hivick provided me with some different options to fit my needs both personally and financially. I received two crowns and one filling and couldn't be happier with the appearance and quality of work. Thank you for taking pride in your work Dr. Hivick - that seems harder and harder to find nowadays. – Bryan W.
 
 
 
