Accessible Version
Chagrin Family Dental Care

Smile Gallery: Cosmetic Dentistry

See for yourself the fantastic results we get here at Chagrin Falls Dentistry. 

Still need an appointment?
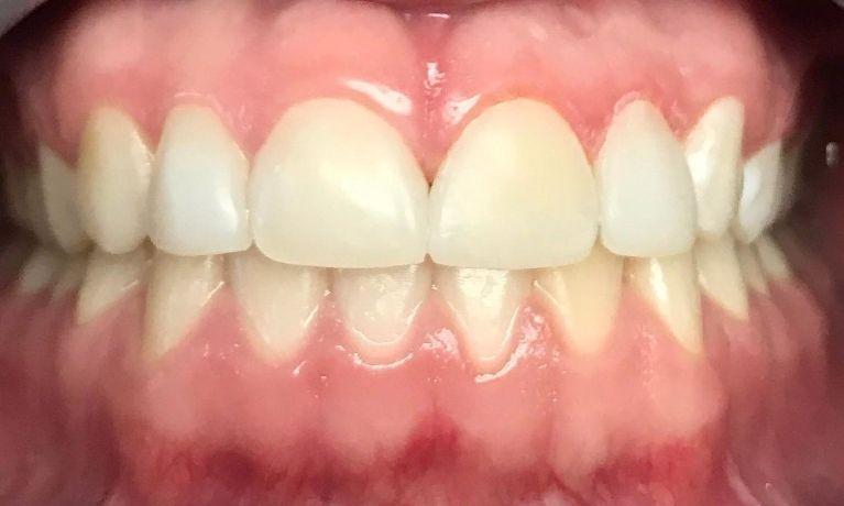
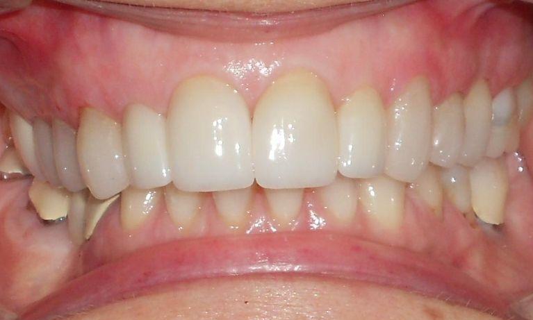
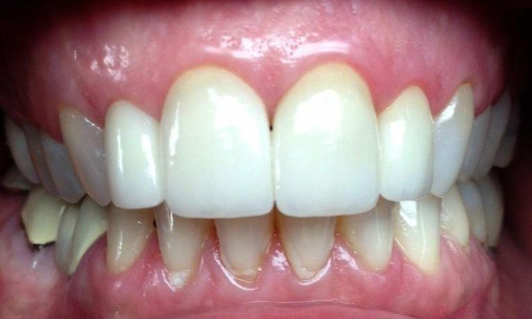
Total Mouth Restoration

When I came to Dr. Hivick with many large fillings and spaces between my teeth, we worked together to develop a plan to restore my entire mouth, and I was not disappointed. He is calm, confident, gentle, and artistically talented. I put my trust in Dr. Hivick's ability, and I'm told almost daily what a beautiful smile I have thanks to him. I couldn't be happier with the quality and esthetics of his work. – Andrew P.

If you have difficulty using our website, please email us or call us at (440) 338-1711
View the ADA Accessibility Statement
Privacy Policy